매일 밤, 당신의 치아는
굿나잇하고 계신가요?
굿나잇치과는 치료보다 ‘마음’을 먼저 살핍니다.
충분한 설명과 편안한 대화를 통해 불안을 덜고,
수면진료로 치과 공포를 넘어설 수 있도록 돕습니다.
아픔 없는 순간,
모든 진료가 편안해집니다.
아픔 없는 진료, 그 시작은 마취부터 다릅니다.
6단계 무통 시스템으로 마취 과정마저 편안합니다.
처음부터 끝까지 세심한 단계별 시스템으로 안심 진료를 약속합니다.
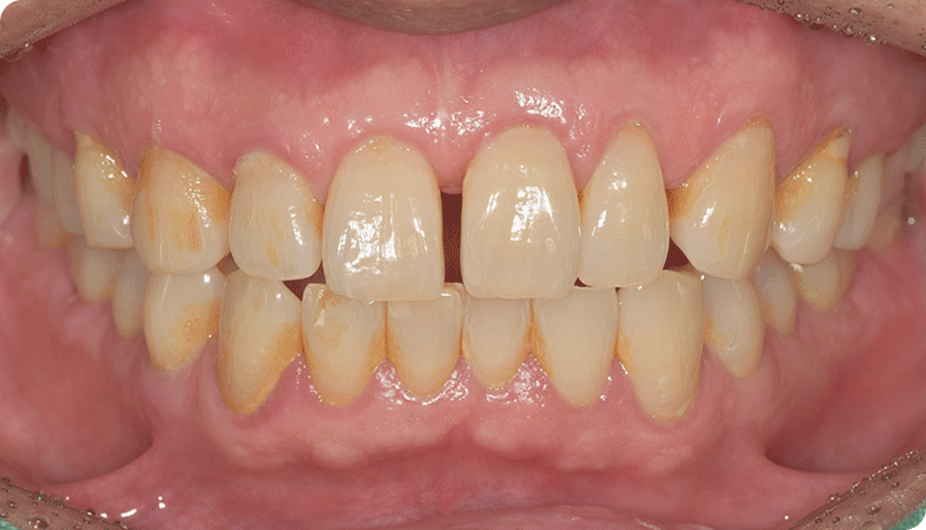
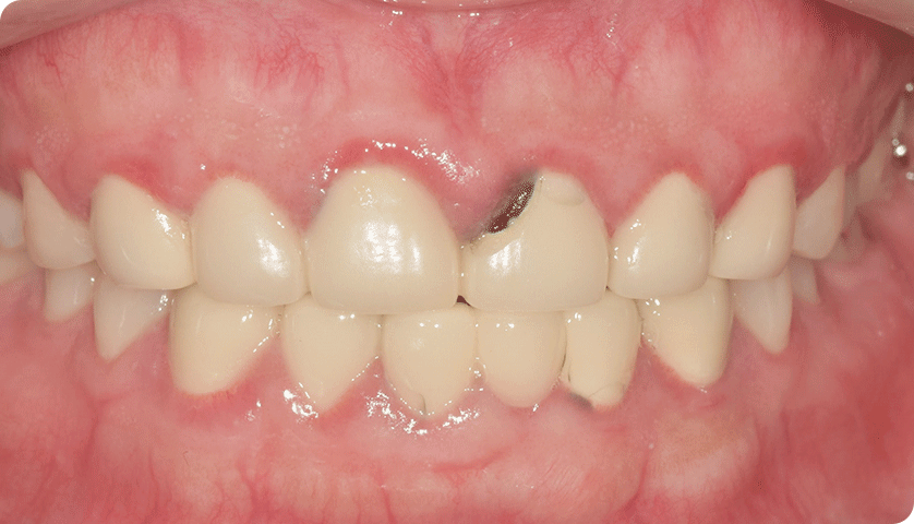
치아를 살리고 지키는 것,
치료의 첫 번째 원칙입니다.
모든 진료의 기준은 자연치아 보존입니다.
불필요한 손상을 줄이고 정밀하게 진단해,
치아의 기능과 아름다움을 지켜드립니다.
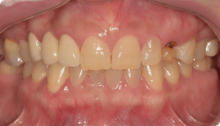
씹는 즐거움, 웃는 자신감.
다시 태어난 치아로 되돌려드립니다.
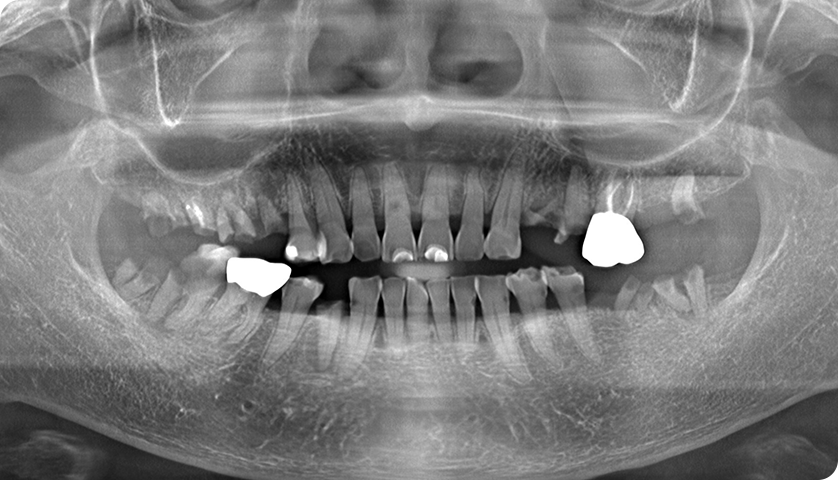
굿나잇치과의 임플란트는 자연치아와 가장 가까운 기능과 심미성 구현을 목표로 합니다.
환자별 맞춤 플랜과 디지털 장비를 활용해 안전하고 예측 가능한 결과를 제공하며
마지막까지 정기검진 · A/S · 보증제도로 체계적인 사후 관리를 이어갑니다.



















